Sağlıklı Gülüşler İçin Profesyonel Bakım
Modern cihazlarımız ve deneyimli kadromuz ile tüm diş hekimliği branşlarında kaliteli hizmet sunuyoruz.
17 Yıllık Deneyim
2008'den bu yana binlerce hastaya kaliteli diş hekimliği hizmeti sunuyoruz.
Modern Ekipman
En son teknoloji cihazlarla güvenli ve konforlu tedavi sağlıyoruz.
Uzman Kadro
Alanında uzman diş hekimlerimizle tüm branşlarda hizmet veriyoruz.
Hizmetlerimiz
Tüm diş hekimliği branşlarında uzman kadromuzla yanınızdayız.

İmplantoloji
Eksik dişleriniz için en modern ve kalıcı çözüm. Titanyum implantlarla doğal diş görünümü.

Protez Tedavisi
Sabit ve hareketli protez seçenekleri ile kaybedilen dişlerin fonksiyon ve estetiğini geri kazandırıyoruz.

Ortodonti
Diş teli ve şeffaf plak tedavileri ile düzgün, sağlıklı gülüşler. Her yaşa uygun çözümler.

Endodonti (Kanal Tedavisi)
Enfekte olmuş dişleri kurtaran kanal tedavisi. Ağrısız ve konforlu tedavi süreci.

Restoratif Tedavi
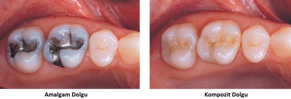
Çürük, kırık ve aşınmış dişlerin estetik dolgular ve kaplamalarla onarımı.

Çocuk Diş Hekimliği (9+)
Çocuklarınızın ağız ve diş sağlığı için koruyucu ve tedavi edici uygulamalar.
Sağlıklı Bir Gülüş İçin İlk Adımı Atın
Ücretsiz muayene için hemen bizi arayın. Uzman kadromuz sizin için en uygun tedavi planını oluşturacak.
Bizi Ziyaret Edin
Çekmeköy'ün merkezinde, kolay ulaşılabilir konumumuzla hizmetinizdeyiz.
Adres
Mimar Sinan Mah. Bosna Cd. Güven1 İş Mrk. Kat:1 No:2
Çekmeköy / İstanbul
Çalışma Saatleri
Pazartesi - Cumartesi: 09:00 - 18:00